
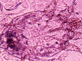
Microfotografía de Sarcoptes Scabiei hembra; 300-400 micrones de tamaño.

Acropustulosis en lactante.

Múltiples lesiones escoriadas en tronco de lactante.

Nódulos escabióticos en escroto de niño.

Surco acarino evidenciado con tinta china en el codo.

Lesiones características de escabiosis en adulto: surcos, nódulo en pene y grataje.

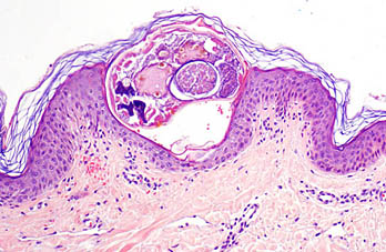
Microfotografía de escabisis común con ácaro intracórneo e inflamación linfocitaria, superficial, leve. HE, x 100.

Microfotografía de sarna noruega con numerosos ácaros intracórneos con hiperortoqueratosis. HE, X 100
El ácaro de la sarna es un artrópodo de cuerpo no segmentado, ovoide, de color blanquecino, con su región dorsal cubierta de cerdas y espinas quitinosas; tiene una prolongación anterior, con aspecto de cabeza y cuatro pares de patas cortas. La hembra mide entre 300 a 400 micrones y el macho 150 micrones. El ácaro es incapaz de sobrevivir más de 4 días en el medio ambiente, ya que necesita un huésped humano para su supervivencia (1-3).
Entre las manifestaciones clínicas, existe un período de latencia entre el contagio y los primeros síntomas, que varía desde 15 a 50 días. El síntoma más importante es el prurito, de predominio nocturno o cuando hace calor, el cual es causado por el ácaro al hacer el surco y también por reacción alérgica del huésped sensibilizado.
Las lesiones cutáneas tienen una morfología y distribución característica, cuya demostración son de gran valor para el diagnóstico. Se presentan sobre todo en los pliegues, cara anterior de la muñeca, codos, axila, manos, región interdigital, abdomen, zona genital, región glútea, cara interna de muslos, rodillas y tobillos. En el niño la sarna tiende a ser más generalizada que en el adulto, comprometiendo además cuero cabelludo, cara, palmas y plantas (1,3,4).
Entre las lesiones características se encuentran:
Surco acarino: lesión lineal, de varios mm de longitud, y representa la manifestación externa del túnel que realiza la hembra fecundada en la epidermis.
Vesícula perlada o perla escabiótica: pequeñas vesículas en el sitio donde se ubica la hembra en la epidermis.
Nódulos escabióticos: lesiones nodulares induradas de 10 – 12 mm de diámetro, que corresponden generalmente a una reacción de hipersensibilidad retardada a la presencia del ácaro, aunque en muchos casos se han encontrado ácaros vivos y huevos.
El diagnóstico es principalmente clínico y está basado en los siguientes hechos:
Prurito, de predominio nocturno, éste síntoma puede estar ausente en niños muy pequeños.
Morfología y distribución de las lesiones
Antecedentes epidemiológicos, tanto de familiares como de contactos.
La videodermatoscopía (VD) es una herramienta de diagnóstico no invasiva que recientemente se ha incorporado como una técnica alternativa para el diagnóstico de la escabiosis. Su eficacia se demuestra en estudios que muestran la capacidad de la VD de detectar parásitos in vivo, con resultados comparables a aquellos obtenidos de muestra cutánea tradicional o ácaro-test (5,6). Además permite monitorizar la respuesta clínica al tratamiento y de esta forma manejar mejor los tiempos óptimos de aplicación de las diferentes drogas, reduciendo el riesgo de efectos adversos y posibles complicaciones (7). Otras técnicas diagnósticas que se están realizando son la Reacción de polimerasa en cadena (PCR) en escamas córneas de pacientes infestados y ELISA como testeo serológico en infestaciones animales (8). Por último, la biopsia de piel y estudio histológico en casos de difícil diagnóstico, son de gran utilidad (9).
El diagnóstico diferencial debe hacerse con enfermedades dermatológicas que cursan con prurito y lesiones de grataje secundarias, tales como dermatitis atópica (principalmente en niños), sudamina, dermatitis de contacto, picaduras de insectos, piodermias, urticaria y erupción por drogas (4). Las lesiones vesículo-pustulosas en niños pequeños pueden confundirse con foliculitis estafilocócicas, acropustulosis infantil, histiocitosis de células de Langerhans o varicela. Las lesiones pápulo-nodulares eritemato-parduscas pueden sugerir una mastocitosis (urticaria pigmentosa). La sarna noruega puede simular una psoriasis. El ácaro-test es de gran valor en el diagnóstico diferencial, ya que si es positivo el diagnóstico es definitivo (1,4).
El estudio histopatológico es de utilidad en los casos de presentación atípica y no rara vez el hallazgo de los ácaros es casual. El estudio microscópico de la lesión caraterística muestra una dermatitis perivascular, superficial y profunda, con polimorfonucleares eosinófilos y aumento de mastocitos intersticiales; en la capa córnea puede identificarse el surco con huevos, excretas, larvas e incluso el ácaro completo. En los casos de escabiosis nodular persistente no se encuentra habitualmente el ácaro y la reacción inflamatoria es más densa adoptando ocasionalmente el aspecto de pseudolinfoma. En los casos de sarna noreuga, puede verse hiperortoqueratosis y múltiples surcos con un gran número de ácaros intracórneos, en diversas fases del desarrollo, hecho que es típico de esta variedad.
La complicación más frecuente es la reacción de hipersensibilidad llamada prúrigo escabiótico, en que aparecen lesiones eritemato-escamosas en las zonas comprometidas, muy pruriginosas. Los nódulos escabióticos también corresponden a reacciones de hipersensibilidad y pueden aparecer después de un tratamiento antisárnico. Es grave la infección bacteriana secundaria, generalmente producida por el estreptococo beta hemolítico, el cual puede desencadenar una glomerulonefritis aguda. También puede haber infección secundaria por estafilococo dorado (2,4).
El tratamiento adecuado para la escabiosis consta de importantes medidas generales, además de un tratamiento escabiótico específico, sin embargo, aún no se ha encontrado un gold standard para el manejo correspondiente de esta enfermedad. Por otra parte se han reportado severos efectos adversos para algunas de las drogas utilizadas (10). Es por esto que el tratamiento de la escabiosis con escabicidas tópicos se mantiene sin variaciones desde hace ya muchos años. El número de escabicidas tópicos disponibles también se ha mantenido constante. La aparición de la ivermectina, droga antiparasitaria de acción sistémica, ha permitido un nuevo acercamiento a la terapia de esta enfermedad (11).
Dentro de las medidas generales es importante destacar:
1) Se debe realizar tratamiento simultáneo a todos los contactos del paciente infestado aunque no convivan o no tengan prurito, tales como padres, hijos, hermanos, parejas, personas que colaboran con tareas del hogar o cuidado de los niños sin vivir con ellos.
2) En el lavado de manos es importante cepillar las uñas pues el rascado de la piel en manos afectadas lleva a acumular parásitos debajo de las mismas (12).
3) Se recomienda tratar primero las infecciones cutáneas piodérmicas (estafilocócicas o estreptocócicas) con antibióticos sistémicos y después tratar la sarna.
4) Puede persistir prurito por varias semanas después del tratamiento. Se pueden usar antihistamínicos orales o lubricación de la piel. No hay que hacer tratamientos repetitivos, porque son de riesgo para el paciente (4).
5) La ropa de cama y la del paciente deben ser lavadas con agua caliente y planchadas. El lavado en seco también mata al parásito. Además, éste muere en 4 días si no está en contacto con el huésped humano, por lo que los artículos que no se pueden lavar deben ser puestos en bolsas plásticas por 7 a 10 días (juguetes de peluche, frazadas, colchas, etcétera) (1-3,4).
6) Es importante identificar la fuente del contagio para su correcto tratamiento y seguimiento de la cadena epidemiológica (12).
7) Hay que dar aviso a establecimientos escolares u hospitalarios frente a un caso de escabiosis para evitar brotes epidémicos (4).
8) La aplicación del escabicida (crema o loción). debe hacerse en todo el cuerpo, desde el cuello hacia abajo. Aplicar en todas las uñas. Es mejor usarlo después del baño pero con el paciente seco. En los niños se recomienda la aplicación en el cuero cabelludo (3,4).
9) Debe repetirse la aplicación del escabicida a los 7 días, porque no hay tratamientos ovicidas (1,4).
10) El tratamiento no deja inmunidad y un nuevo contacto con el ácaro puede significar adquirir nuevamente la enfermedad (2-4,12).
El tratamiento específico a elección dependerá según el caso. Dentro de los escabicidas tópicos más utilizados está la Permetrina 5%, derivado sintético piretroide, de muy baja toxicidad y alta eficacia. Actúa como neurotoxina, que produce parálisis y muerte del ácaro. Se aplica la loción por 12 a 24 horas, según las recomendaciones generales antes descritas, y se reaplica en 1 semana, con lo que se ha comprobado una eficacia mayor de 92%. Actualmente se considera como la mejor alternativa terapéutica en niños y adolescentes (13). Se ha aprobado su uso en niños desde los 20 días, pero no se ha establecido aún su uso en embarazadas. La permetrina se usa comúnmente en forma tópica como loción, crema, o spray, (14). por otra parte existen piretrinas naturales con otras formulaciones tipo espuma termo lábil, también de uso tópico, las cuales han sido tan efectivas como la permetrina al 5% para el tratamiento de la escabiosis, incluso logrando una mejoría más rápida y un control del prurito más completo (15).
Otro escabicida tópico ampliamente utilizado es el lindano al 1%, que ha sido el tratamiento de elección, antes del uso de la permetrina. Se aplica por 12 a 24 horas en todo el cuerpo, previo baño, y se repite a la semana. Si bien se han descrito algunos casos de resistencia, la falla al tratamiento es poco frecuente si éste se ha realizado en forma adecuada. Este producto tiene un alto potencial de toxicidad sistémica y neurotoxicidad. Recientemente la FDA advirtió que estos efectos son más comunes en los niños, la gente mayor y aquellos individuos con un peso menor a 50 kgs, debido a que estas personas poseen una mayor absorción sistémica y susceptibilidad neurológica, por lo que se ha recomendado que esta droga sólo debería utilizarse como medicamento de segunda línea. No debe emplearse en pacientes con defectos de la barrera epidérmica, prematuros y condiciones que aumenten la absorción percutánea y tampoco en embarazadas. Además esta droga está contraindicada en pacientes con desórdenes epilépticos y alto riesgo de convulsión (personas con tratamiento antiretroviral, antipsicóticos, antimaláricos, corticoides sistémicos, quinolonas, abuso de alcohol o benzodiazepinas) (16).
Además de la permetrina y el lindano, también la vaselina azufrada (5-10%). es utilizada en forma tópica y ha sido el tratamiento de elección para embarazadas, lactantes y recién nacidos (17). Se aplica por tres noches consecutivas, lavándose cada vez antes de la aplicación. Se debe repetir a los 7 días. El azufre tiene la ventaja de ser barato y muchas veces constituye la única alternativa de tratamiento en áreas donde la necesidad de terapia masiva y la pobre economía requieren de una alternativa escabicida. La eficacia de la vaselina azufrada ha sido reportada en varias publicaciones alcanzando un 82%. Un estudio tailandés recientemente publicado mostró una eficacia de 71% a las 4 semanas de tratamiento con azufre al 5 y al 10% (sin diferencias significativas entre ambas concentraciones). en el control de un brote de escabiosis en niños internados en un orfanato (18).
La crema crotamitón 10% es mucho menos eficaz que los tratamientos anteriores, pero tiene la ventaja de ser antipruriginoso y muestra poca toxicidad sistémica. Su eficacia es de aproximadamente 60% a las 4 semanas (18).
Por otra parte se encuentra la ivermectina oral, que corresponde a un agente antihelmíntico que se emplea en dosis única de 200 ug/kg. Se ha usado en pacientes inmunocompetentes y en pacientes con infección VIH. Se propone 2 pulsos (1 por semana), en ayunas y no comer hasta 2 hs. después. No dar simultáneo con barbitúricos que se suspenderán 24 hs. antes y 24 hs. después. No dar en embarazadas, en lactancia ni en niños menores de 15 Kg. de peso.
La ivermectina es un compuesto derivado de avermectina 1 (sustancia producida por el hongo Streptomyces avermitilis), con una estructura química similar a los antibióticos macrólidos, que no presenta actividad antibacteriana pero sí excelentes propiedades antihelmínticas (19). Hasta la fecha, se ha utilizado con resultados altamente satisfactorios en el control de la oncocercosis y otras filariasis en los seres humanos. Por otra parte, algunos pequeños estudios efectuados a partir de 1992, en varios países de Asia y Africa han señalado su efectividad en el tratamiento de la escabiosis, a dosis única oral de 100 g /kilo de peso (20). Existen estudios que no han logrado reproducir dichos resultados alentadores y por el contrario, sugieren que este compuesto no es particularmente útil en el manejo de esta enfermedad ectoparasitaria, en comparación con los tratamientos tópicos convencionales como la permetrina o el benzil benzoato (Este último no disponible en Chile) (21). Sin embargo, ensayos recientes han logrado demostrar que la ivermectina es igualmente eficaz que el benzil benzoato para el tratamiento de la escabiosis. Además resulta más barato y fácil de transportar (22).
En el Departamento de Dermatología y Salud Pública de la Universidad de Miami se adelantó un estudio orientado a determinar la tolerabilidad y eficacia de ivermectina en el tratamiento de la escabiosis. Para ello, se administró 200 g/kilo de peso de ivermectina en dosis oral única, a dos grupos de pacientes: 11 sujetos sanos con escabiosis, y 11 individuos que además de la ectoparasitosis tenían infección documentada por virus de inmunodeficiencia humana (VIH).. Al cabo de dos semanas ninguno de los sujetos sanos presentó evidencia de escabiosis, en tanto que en sólo dos de los pacientes VIH (+) persistían las lesiones cutáneas por lo que se les suministró una dosis adicional del medicamento, lográndose la curación de uno de ellos, mientras el otro, requirió tratamiento tópico adicional. Durante el estudio no se presentaron efectos colaterales y por el contrario, fue evidente un alivio dramático y rápido de la sintomatología, en particular el prurito. Los índices de curación a las cuatro semanas fueron de 100% y de 97% en los dos grupos estudiados (23). Es importante acalarar que esta droga fue aprobada por la US Food and Drug Adminidtration (FDA) en 1996 para el tratamiento de la filiariasis y oncocercosis, pero no para la escabiosis (24). Sin embargo, la ivermectina ha sido utilizada ampliamente en todo tipo de pacientes, y hasta el año 2002, no habían reportes que avalaran el uso de esta droga en menores de 5 años, sin embargo, no hay estudios que demuestren casos serios de toxicidad en niños. Además cabe destacar que gran parte de la población afectada corresponden a niños menores de 5 años. Un estudio realizado en Australia muestra que el 70 % de los niños bajo los 5 años presentaban sobreinfección bacteriana, principalmente estreptocócica., que a pesar del uso de antibióticos sistémicos, los niños con grandes áreas afectadas presentaban hematuria microscópica, lo que hacía sugerir una glomerulonefritis subclínica. Esto podría ser el punto de partida de un daño renal progresivo y una falla renal terminal. No hubo casos de fiebre reumática. Frente a esta evidencia The Australian Pharmaceutical Advisory Board recomienda el uso de ivermectina en los pacientes a cualquier edad(25).
Basándose en estos resultados, se puede concluir que la ivermectina es una alternativa segura y efectiva en el tratamiento de la escabiosis, tanto en sujetos sanos como en inmunocomprometidos, que tiene como ventajas adicionales su bajo costo, mínimos efectos adversos y un esquema de administración más sencillo que evita los problemas de adherencia o aplicación inadecuada que se presentan frecuentemente con la terapia tópica.
Recientemente han aparecido en la literatura, nuevos acaricidas tópicos, como el aceite de Melaleuca alternifolia (árbol del té), cuyo componente activo es el Terminen 4- OL (terpinoides oxigenados), el cual los autores proponen como uso alternativo en casos de resistencia del S. scabiei, recientemente documentada, al tratamiento convencional con permetrina al 5% o ivermectina oral en ratas, sin embargo, no existen hasta el momento resultados efectivos en humanos (26). Otras drogas acaricidas, utilizadas en la India, están siendo estudiadas en animales para evaluar su eficacia terapéutica, entre ellas el aceite de Cedro deodara, Pongamia glabra y Jatropha curcas (27).
Si después del tratamiento el prurito no mejora puede ser debido a que persiste la infestación, a una respuesta de hipersensibilidad que cede lentamente (nódulos postescabiósicos) o a la irritación por los medicamentos, que resulta muy frecuente, sobre todo cuando se aplican repetidamente. Por ello, se debe remarcar que no es preciso realizar más tratamiento que el indicado, a pesar de que el prurito continúe durante 1 ó 2 semanas.
El conocimiento cabal de la enfermedad, la aplicación de las indicaciones apropiadas, el buen uso de escabicidas y la educación sanitaria, permitirán la erradicación de esta infestación. La comunidad médica internacional ha realizado múltiples investigaciones en la búsqueda de nuevos productos antiparasitarios, sin embargo, el control epidemiológico a nivel de atención primaria es vital en la disminución real de la incidencia de esta enfermedad.
1. Pérez-Cotapos ML, Hasson A. Infestaciones Parasitarias. Dermatología. Ed. Universidad Católica de Chile. 2003. 95-100
2. García-Patos V. Escabiosis. Protocolos diagnósticos y terapéuticos en dermatología pediátrica.1999. 153-8.
3. Honeyman J, Maira ME, Valdés P, et al. Sarna o Escabiosis. Dermatología. 1997. 38-40.
4. Pérez-Cotapos ML, Zegpi MS. Infestaciones Parasitarias. Dermatología PUC.
5. Micali G, Lacarrubba F, Lo Guzzo G. Scraping versus videodermatoscopy for the diagnosis of scabies: a comparative study. Acta Derm Venereol. 1999 Sep;79(5):396.
6. Micali G, Lacarrubba F, Tedeschi A. Videodermatoscopy enhances the ability to monitor efficacy of scabies treatment and allows optimal timing of drug application. J Eur Acad Dermatol Venereol. 2004 Mar;18(2):153-4.
7. Lacarrubba F, Musumeci ML, Caltabiano R, et al. High-magnification videodermatoscopy: a new noninvasive diagnostic tool for scabies in children. Pediatr Dermatol. 2001 Sep-Oct;18(5):439-41
8. Bologna J, Jorizzo J, Rapini R. Dermatology. Ed. Mosby. 2003.Vol I; 84: 1321-32.
9. Steen, Carbonaro, Schwartz. Arthropods in dermatology. J Am Acad Dermatolol. 2004 June; 50: 819-42.
10. Del Guidice P. Ivermectin in scabies. Curr Opin Infect Dis. 2002, 15: 123-6.
11. Walker GJ, Johnstone PW. Interventions for treating scabies. Cochrane Database Syst Rev. 2000;(3):CD000320.
12. Ascione I, Nuñez B. Ateneo clínico sobre sarna. Sociedad Uruguaya de Pediatría. 2004
13. Elgart ML. Cost-benefit analysis of ivermectin, permethrin and benzyl benzoate in the management of infantile and childhood scabies. Expert Opin Pharmacother. 2003 Sep;4(9):1521-4.
14. Scheinfeld N. Controlling scabies in institutional settings: a review of medications, treatment models, and implementation. Am J Clin Dermatol. 2004;5(1):31-7.
15. Amerio P, Capizzi R, Milani M. Efficacy and tolerability of natural synergised pyrethrins in a new thermo labile foam formulation in topical treatment of scabies: a prospective, randomised, investigator-blinded, comparative trial vs. permethrin cream. Eur J Dermatol. 2003 Jan-Feb;13(1):69-71
16. Wooltorton E. Concerns over lindane treatment for scabies and lice. CMAJ. May 27, 2003; 168
17. Flinders DC, De Schweinitz P.Pediculosis and scabies.Am Fam Physician.2004 Jan 15;69(2):341-8.
18. Pruksachatkunakorn C, Damrongsak M, Sinthupuan S.Sulfur for scabies outbreaks in orphanages. Pediatr Dermatol. 2002 Sep-Oct;19(5):448-53.
19. Develoux M. Ivermectin. Ann Dermatol Venereol. 2004 Jun;131(6-7):561-70
20. Offidani A, Cellini A, Simonetti O, et al. Treatment of scabies with ivermectin. Eur J Dermatol. 1999 Mar;9(2):100-1.
21. Dannaoui E, Kiazand A, Piens M, et al. Use of ivermectin for the management of scabies in a nursing home. Eur J Dermatol. 1999 Sep;9(6):443-5.
22. Brooks PA, Grace RF. Ivermectin is better than benzyl benzoate for childhood scabies in developing countries. J Paediatr Child Health. 2002 Aug;38(4):401-4.
23. Meinking T. L., Taplin D., Herminda J. L., et al. The treatment of scabies with Ivermectin.
N Engl J Med 1995; 333:26-30, Jul 6, 1995
24. Fawcett RS.Ivermectin use in scabies. Am Fam Physician. 2003 Sep 15;68(6):1089-92.
25. Dugdale A. Ivermectin for scabies. J. Paediatr. Child Health (2003) 39, 392-3.
26. Walton SF, McKinnon M, Pizzutto S, et al. Acaricidal activity of Melaleuca alternifolia (tea tree) oil: in vitro sensitivity of sarcoptes scabiei var hominis to terpinen-4-ol. Arch Dermatol. 2004 May;140(5):563-6.
27. Dimri U, Sharma MC. Effects of sarcoptic mange and its control with oil of Cedrus deodara, Pongamia glabra, Jatropha curcas and benzyl benzoate, both with and without ascorbic acid on growing sheep: epidemiology; assessment of clinical, haematological, cell-mediated humoral immune responses and pathology. J Vet Med A Physiol Pathol Clin Med. 2004 Mar;51(2):71-8.